Dicas para realizar corretamente um escaneamento
Para trabalhar de forma eficiente em um fluxo totalmente digital, o dentista precisa ajustar alguns aspectos da sua técnica clínica tradicional.
Essa adaptação é essencial para aproveitar ao máximo os benefícios do digital e garantir que todas as informações sejam transmitidas corretamente ao laboratório.
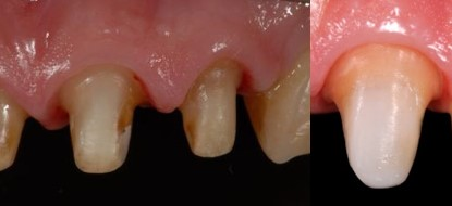
1. Afastamento gengival adequado
O primeiro passo fundamental é realizar um afastamento gengival eficiente.
Existem diferentes formas de fazer isso, sendo uma das mais comuns o uso de fio retrator (um fio, mas muitas vezes, dois), que ajuda a expor a margem do preparo.
É extremamente importante que o término cervical (linha de término) esteja bem visível, permitindo que o scanner capture essa região com precisão.

2. Preparo com margens bem definidas
Outro ponto essencial é que, sempre que possível, o preparo dental apresente uma linha de término clara e bem definida.
Isso facilita tanto a captura pelo scanner quanto o trabalho do laboratório na etapa de design.

3. Uso estratégico de provisórios
Alguns profissionais adotam a estratégia de confeccionar coroas provisórias específicas, que ajudam a condicionar a gengiva e expor melhor a margem após sua remoção.
Essa abordagem pode melhorar significativamente a qualidade da moldagem digital.
4. Adaptação da técnica em relação ao método convencional
Na moldagem convencional, o próprio material (como o alginato ou silicona) e a pressão exercida durante a inserção da moldeira ajudam a promover um leve afastamento gengival, expondo parcialmente a margem.
Já no fluxo digital, isso não acontece.
Por isso, é necessário adaptar a técnica clínica, garantindo que a margem esteja previamente exposta antes do escaneamento.
5. Comunicação com o laboratório
Ao receber a moldagem digital, o laboratório utilizará sua experiência para interpretar e definir corretamente a linha de término durante o planejamento.
No entanto, é importante destacar que:
Cerca de 90% da qualidade do resultado depende diretamente da captura realizada pelo dentista.
Seguindo esses princípios, é possível obter moldagens digitais mais precisas, previsíveis e confiáveis, melhorando significativamente o resultado final do tratamento.